[ #HistoiresExpatriées ] Un nouveau « chez soi » ailleurs…
PRÉAMBULE [ histoire de planter le décor et se (re)mettre dans le contexte… ]
Voici un récit rétrospectif de tranches de vie « ailleurs » vécues au siècle dernier !
Ma vie d’adulte autonome a commencé pour de bon par là puisque ce départ pour l’inconnu, avec mon Homme, actait mon envol définitif du nid parental…
Il est important de préciser qu’à cette époque, il était presque impossible de garder le contact avec ses proches car il n’existait ni internet, ni téléphone portable, et les appels internationaux depuis un fixe ou une cabine téléphonique étaient hors de prix. Pour maintenir un maigre lien avec l’actualité en général, pas de télé ; le seul moyen à disposition était une petite radio à ondes courtes grâce à laquelle il était possible (lorsqu’elle avait des piles) de capter RFI deux heures par jour quand il ne faisait pas trop chaud…
Dire que le dépaysement a été au rendez-vous est un doux euphémisme. Le choc africain a été sévère et radical dès mon arrivée dans le pays (et même dès la sortie de l’avion…). Ce jour-là, ma vie a irréversiblement basculé… mais je ne le savais pas encore.
Cette parenthèse passée au Sénégal a été riche, très riche, tant d’un point de vue positif que négatif. Ce fut pour moi un véritable séisme personnel, mais au fond, ce bouleversement absolu m’a été extrêmement bénéfique.
Durant toute cette « histoire expatriée », j’ai reçu une grande claque, mais surtout une grande leçon de vie qui m’a beaucoup servi par la suite une fois de retour en France, et qui me sert encore aujourd’hui plus de vingt ans après…
~~~~~~~~~~~~~~~~~~
Découvrir et être dépaysée…
On m’avait prévenue qu’en arrivant de nuit, ce serait moins dur car il ferait moins chaud (« seulement » 25-30° !) et que je ne me rendrais pas bien compte sur le coup. Et pourtant…
Horrifiée en voyant tout ça, j’ai alors compris pourquoi des épidémies récurrentes de choléra, fièvre jaune, paludisme et autres joyeusetés sévissaient. Nous avons d’ailleurs contracté la malaria à tour de rôle tous les deux, quelques semaines à peine après notre arrivée…
S’acclimater et s’accommoder…
① Il nous a fallu nous habituer à n’avoir à disposition que de l’eau courante salée. Dans la région de Kaolack, les nappes phréatiques sont saturées en sel car contaminées par les marais salants alentours qui, par la même occasion, brûlent et stérilisent la terre à des kilomètres à la ronde.
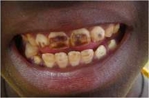
En plus d’être salée, l’eau a une autre caractéristique naturelle, laissant des traces indélébiles. Elle est beaucoup trop fluorée. Les conséquences sont irréversibles pour ceux qui ont bu cette eau durant leur enfance : ils sont notamment atteints de fluorose dentaire, une pathologie qui tâche définitivement les dents. Si un jour vous croisez un sénégalais qui a un tel sourire, vous pouvez être certain qu’il a grandi dans la région de Kaolack !
Autre petit « souci aquatique » à la maison : pas de notion d’eau froide. Durant la journée, les canalisations, surchauffées par le soleil de plomb et la chaleur accablante, nous distribuaient uniquement de l’eau brûlante au robinet (pratique pour se préparer un thé direct !). Il fallait attendre la nuit ou le petit matin pour avoir de l’eau tiède et espérer ainsi se laver sans risquer de se brûler au troisième degré ! Si on avait besoin d’eau froide, il fallait être patient, remplir un récipient et laisser refroidir… Mais au moins on avait la chance de ne pas avoir besoin d’aller chercher l’eau au « distributeur » du quartier.
Une petite mosquée de quartier se situait tout près de notre pied-à-terre, nous étions donc aux premières loges pour être réveillés (en sursaut) chaque jour avant le lever du soleil… Mais n’ayant pas vraiment le choix, on finit par s’y habituer assez vite.
Par exemple, les fêtes de quartier étaient courantes (et très animées). Nous avons eu l’honneur et le privilège d’être invités une fois, c’était vraiment super à voir et à vivre ! Mais quand vous devez subir, c’est franchement beaucoup moins cool à la longue… Notre logement était situé si proche des festivités qu’on aurait dit que les enceintes étaient posées juste devant nos fenêtres. Nos tympans agonisaient à chaque fois qu’une sono hyper puissante était installée dans notre rue et crachait jusqu’à saturation (et avec moultes larsens) ses décibels endiablés jusqu’au milieu de la nuit. Ces soirs-là, très égoïstement (ou un peu désespérés ?…) nous espérions ardemment une coupure d’électricité pour mettre fin au supplice et ainsi soulager nos oreilles traumatisées. Malheureusement, même sans électricité, la sono continuait à hurler, en même temps que le « DJ » dans son micro… Nous ne comprenions pas comment c’était possible jusqu’à ce que nous découvrions de nos propres yeux la redoutable efficacité du système D africain… La sono qui sévissait à côté de chez nous était reliée au capot d’une voiture : deux pinces croco et hop directement branchée sur la batterie !
Dès le lendemain de mon arrivée, j’ai eu droit à une sacrée démonstration. Heureusement que je n’étais pas cardiaque ! Ce soir-là, les Lions du Sénégal (nom de l’équipe Nationale) disputaient un match de la Coupe d’Afrique des Nations. L’atmosphère dans la ville était juste dingue. Partout dans les rues, tout le monde était dehors et regardait le match, agglutinés devant d’antiques postes de télévision posés sur les trottoirs, ou en équilibre précaire sur une chaise ou un banc, ou sur une planche sur 2 tréteaux, ou sur le capot d’une voiture. Tous les moyens étaient bons pour capter au mieux la retransmission : les antennes des télés étaient prolongées d’un fil de fer accroché le plus en hauteur possible. En cas de coupure sauvage d’électricité (et s’il n’y avait pas de quoi faire un ingénieux branchement sur une batterie de voiture…), de petites radios à ondes courtes (et à piles) étaient prévues pour prendre le relais.
Nous observions éberlués ces scènes surréalistes en marchant dans la rue quand, soudain, le Sénégal a marqué son premier but. Là, une vague de hurlements s’est levée et j’ai sursauté de peur. On aurait dit que tous les habitants s’étaient mis à crier frénétiquement en même temps, c’était très impressionnant. Ça m’a vraiment fait quelque chose de bizarre. Inutile de préciser qu’un peu plus tard au cours de notre balade, on a tout de suite compris que le Sénégal venait de marquer un deuxième but…
Chèvres, moutons, poules déplumées, canards maigrichons, ânes hurlant-grinçant, chevaux faméliques, cochons boueux, chiens galeux, chats miteux, rapaces menaçants, vautours voraces, rats, etc. faisaient partie de notre voisinage. Tout ce bestiaire passait son temps à se nourrir goulument des monticules de détritus. Seuls les sacs plastiques échappaient à ce « tri sélectif faunesque naturel ».J’ai eu beaucoup de mal à accepter ça, la conception « avoir du personnel de maison » me mettant très mal à l’aise. Mais nous n’avons pas eu le choix. Comme nous n’avions vraiment pas les moyens de nous offrir la panoplie complète, nous nous sommes contentés d’embaucher à mi-temps une femme de ménage/lavandière/repasseuse et un gardien de nuit (ce qui n’a pas empêché d’être cambriolés à deux reprises, dont une fois en notre présence, en pleine nuit, après que les cambrioleurs nous ont « gazés » pour s’assurer de notre sommeil…).
⑥ Dans notre quartier, nous avons expérimenté les joies et les aléas climatiques !
Au Sénégal, il y a deux saisons : de novembre à mai c’est la saison sèche avec une chaleur crescendo, puis de juin à octobre c’est l’hivernage c’est-à-dire la saison des pluies où il fait très chaud et très humide.
Nous avons débarqué en pleine saison sèche. La chaleur est intense en Afrique, mais à Kaolack, c’est pire que ça, c’est l’antichambre de l’enfer (l’enfer étant plus à l’Est, à partir de Tambacounda au Sénégal oriental, avec 50° ambiants…) ! Nous avons été soumis à rude épreuve pour supporter des températures que nous n’avions encore jamais connues… C’était d’autant plus dur que chez nous, il n’y avait pas de clim ni aucun ventilateur (dès qu’on a pu se payer un petit brasseur d’air portatif, on n’a plus hésité, même si ça ne brassait que de l’air bouillant…), et comme dans notre logement la température ne descendait pas en-dessous de 30° la nuit, nos physiques éprouvés avaient toutes les peines du monde pour récupérer ! La journée, il pouvait faire allègrement 42° à l’ombre… Je préfère passer sur les détails mais les manifestations physiques diverses et variées, en réaction à l’acclimatation thermique, n’étaient pas très glamours les premières semaines. Chaque jour, je subissais au moins un coup d’hyperthermie, et quand je reprenais mes esprits, j’étais rouge comme à un homard qu’on venait d’ébouillanter !
Lors de l’hivernage, la chaleur se faisait humide et suffocante. Des trombes d’eau tombaient du ciel lors d’orages d’anthologie comme je n’en ai jamais plus vu ailleurs que là-bas. Les inondations étaient fréquentes, certains quartiers ne devenaient plus accessibles qu’en pirogue.
Pendant la saison diluvienne, la quantité de mouches, déjà importante, devenait alors massive et envahissante. A tel point qu’on ne pouvait pas laisser un verre sans le couvrir, puis il fallait ventiler énergiquement au-dessus du verre avant de le porter aux lèvres, sous peine d’avoir à boire et à manger dans la bouche…
Dès les premières pluies, la nature à l’agonie explosait de vie. Les champs se recouvraient du jour au lendemain d’une herbe verte digne d’un gazon anglais, c’était incroyable (et magnifique).
C’était aussi le moment où les œufs de termites ailées, enfouies sous terre jusque-là, éclosaient pour donner naissance à des milliers d’insectes jaillissant du sol en même temps. Elles s’envolaient et envahissaient la maison, nous laissant nous agiter au milieu d’un nuage angoissant. Au bout de quelques instants, elles tombaient au sol en perdant leurs ailes puis « rampaient ». Il fallait alors balayer pour les ramasser à la pelle. La première fois qu’on a assisté à ce phénomène saisonnier, on s’est cru en plein film d’horreur, un vrai cauchemar !
Dans le même genre, on peut également vivre l’invasion de nuées de sauterelles ravageuses.
Et puis il y a eu l’expérience éprouvante de notre première grosse tempête de sable…
Le ciel était devenu rouge et ocre, plus aucune visibilité, un peu comme lorsqu’il y a un brouillard à couper au couteau, c’était très impressionnant et oppressant. Il faisait extrêmement lourd, une chaleur sèche vraiment insupportable. Pas un brin d’air pur, car malgré le vent à décorner un troupeau de zébus, l’atmosphère n’était faite que de particules de poussières de sable, de pollen, de micro-déchets, etc. Il était donc très difficile de respirer normalement. On était en apnée. Ce nuage de sable pénétrait par tous les trous : oreilles (c’est ce que l’on appelle avoir les portugaises ensablées…), nez, bouche, yeux, et partout dans les vêtements et les chaussures !
Ce jour-là, la tempête s’est levée alors que nous n’étions pas chez nous. La surprise a été énorme lorsque nous sommes rentrés au bercail. Une vision apocalyptique nous attendait, un cataclysme avait frappé notre appartement qui, je le rappelle, n’avait pas de vitres aux fenêtres et était donc ouvert aux quatre vents. Dans chaque pièce, il y avait un amas de terre sablonneuse. Tout était enseveli sous deux doigts de poussière de sable, on ne voyait plus le carrelage.
Le plus dur dans tout ça c’était la nuit car avec la sensation de chaleur extrême, il était difficile de dormir…
(Sur)vivre au quotidien…
Habiter là-bas a certes été très déroutant, mais nous avons (plus ou moins) apprivoisé le contexte pour assurer notre (sur)vie de tous les jours. Nous avons ainsi appris comment nous débrouiller du mieux possible avec pas grand-chose. Nous étions contraints au minimalisme, vous savez ce concept très à la mode vantant les mérites du 《 vivre mieux (en l’occurrence, je ne suis pas vraiment convaincue…) avec moins (ah ça, c’est sûr !) 》
vraiment très peu pour être heureux.
Il faut se satisfaire du nécessaire… Oh oui !
Alors concrètement, dans notre quartier, comment faisait-on par exemple pour…
① SE DÉPLACER ?
Pour quitter la ville, lorsque nous n’avions pas l’opportunité de se faire prêter un véhicule de l’entreprise où Philéas travaillait, il fallait en passer par la gare routière pour prendre soit un taxi-brousse, soit un car de brousse, soit un (mythique) car-rapide (qui n’a de rapide que le nom !!!). Là, il est utopique de s’imaginer arriver à destination à une heure précise. D’abord parce que le moment du départ est indéterminé (et indéterminable) puisque chacun des transports en commun ne part que lorsque toutes ses places sont vendues. Ensuite parce ce que chaque déplacement est tributaire des inévitables aléas des routes sénégalaises influençant l’heure d’arrivée…

Dans le quartier, on se déplaçait à pied. Avec la chaleur et le soleil implacable, c’était un peu une traversée du désert à chaque sortie.
Petite anecdote pour donner une idée de la température qui pouvait régner. Philéas avait son boulot à une dizaine de minutes de notre domicile. Chaque jour, il mettait une bouteille d’1,5L au freezer pour avoir de l’eau glacée (qui resterait ainsi fraîche aussi longtemps que possible). Mais lorsqu’il arrivait au travail dix minutes après être parti, le glaçon avait déjà presque entièrement fondu…
Pour aller au-delà de notre quartier, ailleurs dans la ville, comme nous n’avions pas de voiture personnelle au début, nous nous déplacions la plupart du temps avec les moyens de transport locaux, et c’était toute une aventure !
Plusieurs options s’offraient à nous.
Le plus économique, c’était la charrette, tractée par un cheval ou par un âne.
Parfois, la charrette s’arrêtait même faire le plein à une station-service !

Sinon, il y avait les taxis « urbains » jaunes et noirs que l’on pouvait prendre en mode « privé » (taxi seulement pour nous, prix plus cher), ou en mode « navette collective » (prix de la course moins élevé). Dans ce cas, il ne fallait pas être pressé car le chauffeur s’arrêtait pour remplir (au-delà de l’entendement) son taxi de passagers tout le long du trajet. Impatients et claustrophobes s’abstenir !
La plupart du temps, ces voitures étaient des épaves roulantes sans âge, avec des centaines de milliers de kms figés au compteur (qui ne tournait plus depuis longtemps), rouillées, avec les pneus lisses et plus vraiment d’amortisseurs.
Les portières, quand elles avaient encore des poignets, ne pouvaient être ouvertes ou fermées que par le chauffeur, grâce à une savante manœuvre qu’il était bien le seul à maitriser.
Inutile d’espérer avoir un peu d’air frais, circuler dans ces taxis était la garantie de cuire à l’étouffée : pas de clim évidemment, et rarement moyen de pouvoir ouvrir les vitres arrières, les manettes devaient être en option…
Le parebrise (enfin… ce qu’il en restait bien souvent) n’avait de parebrise que le nom. C’était la même chose pour les phares, feux de stop, de recul et clignotants.
Les essuie-glaces ? Il fallait généralement oublier ce « détail » : le caoutchouc étant cuit par le soleil depuis des temps immémoriaux, il ne restait plus que les (vestiges de) tiges métalliques (tordues) des balais, ce qui rendait les déplacements en période de déluge surréalistes.
Le volant était recouvert d’une épaisse toison du plus bel effet.
L’habitacle était richement décoré, ce qui rendait l’ensemble toujours très kitsch. Des photos jaunies du marabout, ou d’une star internationale, ou les deux, trônaient au-dessus du tableau de bord, à côté d’une sorte de clinquant et très bling-bling étui pour boite à kleenex.
Il y avait aussi parfois des guirlandes et des boules de Noël accrochées partout, quelle que soit la période de l’année.
Des chapelets de gri-gri pendaient du rétroviseur et des pare-soleils.
Les sièges étaient complètement HS et la plupart du temps éventrés. Il fallait être vigilant en s’y asseyant pour éviter de se faire transpercer par les ressorts qui jaillissaient.
Et puis il fallait aimer (encore et toujours) les ambiances sonores : la radio était à fond, quoi qu’il arrive !
② SE NOURRIR, S’APPROVISIONNER ?

Mis à part un dépôt de pain logé dans un kiosque en tôles rouillées, il n’y avait aucune épicerie, aucune boutique, aucun commerce dans notre quartier.
Néanmoins, des marchands ambulants passaient assez régulièrement à domicile pour nous proposer quelques denrées alimentaires. Il y avait même un vieil artisan baratineur un peu escroc qui cherchait à nous refourguer sa camelote (qu’on soupçonnait être 100% made in China…).
Un boucher vendant du zébu (= équivalent local du bœuf) venait avec un gros morceau de viande (uniquement du filet), emballé dans des bouts de tissu avec quelques mouches. On choisissait le poids qu’on voulait acheter et sous quelles formes on voulait qu’il nous découpe la viande : dans son même morceau, il pouvait faire devant nous des rôtis, des steaks, des morceaux pour daube, etc. La viande n’était pas mauvaise, mais côté hygiène et respect de la chaîne du froid, il ne fallait pas trop être tatillon… Toutefois, on préférait quand même acheter sa viande que celles vendues sur les marchés ou dans les dibiteries locales en plein cagnard. Mais peut-être que même sa viande provenait de ces étals-là ? On ne le saura jamais.
Il y avait de (très) jeunes vendeurs qui portaient, empilées sur la tête, plusieurs plaques d’une trentaine d’œufs. Et moi qui croyais jusque-là que les œufs devaient se conserver au frigo… Je me demande encore comment ça ne faisait pas couveuse naturelle avec la chaleur. Et pourtant aucun poussin n’a éclos dans notre cuisine.
Des femmes vendaient les quelques fruits et légumes qu’elles avaient cultivés.
Un volailler nous rendait visite pour nous proposer de 《 magnifiques bons gros poulets de chair 》 qui ne devait même pas peser 1 kg. Il vendait aussi des canards de temps en temps, mais ils avaient un peu trop le goût de ce dont ils se nourrissaient : les tas de poubelles…
Le pompon revient au poissonnier ! La première fois que je l’avais vu débarquer et qu’il m’avait montré ce qu’il avait à vendre, j’ai bien cru que j’allais m’évanouir. Il avait posé son seau devant moi et avait soulevé la serpillière crasseuse qui était posée dessus, laissant échapper une odeur suspecte. J’avais étouffé un cri en ne distinguant que des mouches agglutinées au fond du seau. Il avait énergiquement secoué la serpillière et un épais nuage de mouches s’était envolée, laissant apparaître la marchandise : des poissons et des crevettes ! Il fallait avoir le cœur bien accroché, mais on finit par s’habituer à tout… vraiment !
Pour tout ce qui ne venait pas directement à domicile, il fallait aller l’acheter en ville, soit dans l’un des nombreux marchés, dont le tentaculaire souk couvert qui était l’un des plus grands d’Afrique, soit à l’épicerie (tenue par un couple franco-libanais nous faisant aussi office de bureau de change) où les toubabs avaient leurs habitudes.
Certes on ne trouvait pas tout ce qu’on avait l’habitude de consommer en France, mais on se contentait de ce qu’il y avait et qu’on estimait pouvoir consommer.
En revanche, si ce qu’on voulait faisait partie de l’offre proposée, alors on pouvait l’acheter n’importe quand. Une envie de poireau à 3h du matin ? Amoul solo (= »pas de problème » en wolof), direction le marché ouvert 24h/24.
Il y avait un aspect qui me hérissait le poil (d’ailleurs je n’ai jamais pu m’y habituer à ça) : le marchandage ! C’est la tradition, c’est comme ça que ça se passe, il faut négocier, pour tout, tout le temps et ce rituel n’en finit jamais. Même pour acheter 1kg de carottes, il fallait que je me plie au petit jeu de la négociation en bon et due forme, tout ça pour marchander dix centimes. C’était épuisant et je détestais ça !
③ SORTIR, SE DIVERTIR, SE RESTAURER ?
Pour essayer de se changer les idées, il n’y avait pas 36 solutions. Dans notre quartier, il n’y avait rien, il fallait donc toujours aller en ville.
Nous avions testé une soirée en boîte de nuit, mais l’expérience (que je ne préfère pas relater) nous avait tellement déroutés que nous ne l’avons pas reproduite. Le choc des cultures…
Nous allions de temps en temps au « cinéma » et nous étions les seuls toubabs parmi les spectateurs la plupart du temps… Le spectacle n’était jamais sur le grand écran mais dans le public ! Chaque séance était folklorique.
La projection se passait en plein air, dans une cour en extérieur. Pour s’asseoir, il y avait soit des chaises métalliques à moitié rouillées (places les plus « chères »), soit des rangées de murettes en béton (places premier prix). Pendant que la cour se remplissait de monde, de la musique était diffusée à un niveau sonore tel que j’en avais mal à la tête. Soudain, sans transition, la lumière et la musique étaient coupées net et le film était projeté direct. Sauf qu’il y avait l’image mais presque pas de son ! Et lorsque d’un coup le son était audible, il n’y avait plus d’images ! Et puis le projectionniste n’était pas très au point, car les bobines n’étaient pas diffusées dans le bon ordre. Une fois, le générique de fin était passé à l’envers en plein milieu du film. Des spectateurs s’étaient alors levés et était partis pensant que le film était fini.
Même quand tout était à peu près synchrone, nous étions de toute façon à chaque fois sidérés par les réactions et le comportement du public lors de certaines scènes du film.
Par exemple, sans que nous comprenions pourquoi, tout le monde se mettait à hurler de rire, certains allant même jusqu’à se rouler par terre.
Autre moment collector : lors de scènes de kung-fu, au moment où l’un des acteurs faisait un saut périlleux arrière (tellement périlleux qu’on voyait les trucages avec les câbles et les sangles de maintien), tous les spectateurs s’étaient levés d’un bond en applaudissant à tout rompre, en sifflant, en hurlant d’admiration, en se pâmant. C’était à se demander si une caméra cachée n’était pas en train d’être tournée. Encore un choc culturel…
À Kaolack, il y a l’Alliance Franco-Sénégalaise, un lieu dédié à la culture et l’éducation. Mais pour être honnête, nous ne l’avons pas vraiment fréquentée. Nous l’avons seulement visitée plusieurs fois, par pure curiosité pour son architecture atypique qui tranche radicalement avec tout le reste.
En revanche, il y avait un lieu que nous fréquentions plus assidûment, c’était ce qu’on appelait le « Cercle ». Il s’agissait d’une sorte d’association regroupant tous les coopérants français vivant à Kaolack. Autant dire que les effectifs n’étaient pas nombreux… D’autres toubabs se joignaient à nous parfois. L’ambiance était plutôt conviviale, ça nous permettait de nous retrouver un peu entre nous, et ça faisait du bien parfois !
Le Cercle occupait un local simple et sans prétention, avec un coin bar dans une grande cour ombragée, avec un terrain pour le tennis ou le volley, un coin pour jouer à la pétanque, et aussi de quoi jouer au ping-pong. Il y avait des jeux de cartes et de société, une petite bibliothèque avec quelques livres empruntables et des magazines, et puis une télévision.
Deux soirs par semaine, des repas à menu fixe étaient organisés : le lundi c’était « brochettes », et le jeudi c’était « spaghetti bolognaise ». Mais le Cercle était ouvert chaque jour, on pouvait passer boire un verre quand on voulait. Chacun avait son carnet de compte pour y noter toutes ses consommations, et chacun réglait sa note à la fin de chaque mois.
Concernant la restauration, en dehors des soirées à thème proposées par le Cercle, nous avions fini par jeter notre dévolu sur deux gargotes locales situées en centre-ville. L’une était un restaurant tenu par un jeune libanais musulman, et l’autre était un restaurant clandestin (mais connu de tout le monde et ayant pignon sur rue) tenu par un libanais catholique d’âge canonique. Nous y mangions correctement (toujours la même chose) assez régulièrement le soir.
Enfin, dès qu’on le pouvait (c’est-à-dire quand on avait les moyens financiers ET la possibilité d’emprunter une voiture à l’entreprise), on s’accordait un week-end de détente au bord de l’océan, loin de Kaolack… Nous avions pris nos habitudes à Nianing, un domaine pour vacanciers implanté sur la Petite Côte près de M’Bour. Ça se situait à une centaine de kms de Kaolack, ce qui représentait 1h30 de routes tumulTUEUSES ! Même si tout n’était pas rose là-bas non plus, c’était quand même une sacrée bouffée d’oxygène à chaque fois…
④ SE SOIGNER ?
Changer de quartier (et de ville)…
Le Siège de l’entreprise où travaillait Philéas a déménagé quelques mois après notre arrivée. Nous avons donc fait partie du grand transfert, un joyeux bordel épique qui mériterait presque un article à lui tout seul !
Tout y semblait mieux (aux premiers abords) : moins loin de la capitale et de la côte, moins sale (tout étant relatif), beaucoup plus arborée, climat moins chaud avec une bonne dizaine de degrés de moins au thermomètre, une maison (un peu moins sommaire) rien que pour nous dans un quartier plus calme, une supérette en centre-ville pour y faire ses courses (on y trouvait même quelques yaourts, le truc inespéré !), des médecins et des pharmacies (qui faisaient aussi office de « banque » lorsqu’il nous fallait faire du change…) dignes de nos standards occidentaux, des restaurants, un vrai cinéma en intérieur.
Cerise sur le gâteau, j’avais même réussi à décrocher un boulot pas très loin de notre nouveau quartier… Je travaillais dans une petite entreprise sénégalaise, avec un patron sénégalais, uniquement des employés sénégalais (dont la plupart était ses propres enfants), presque que des clients sénégalais, et bien sûr j’étais payée à la sénégalaise. J’étais la seule toubab, objet de toutes les curiosités, et autant dire que l’immersion professionnelle a été un vrai nouveau défi, une sacrée nouvelle aventure et un nouveau choc des cultures…
Mais ça fera peut-être l’objet d’un nouveau récit d’#HistoiresExpatriées, qui sait ?
Toutes les autres participations abordant ce thème sont listées en fin d’article ici.
Toutes mes histoires expatriées sont à retrouver ici











































Merci Jean-Noël. Tu vois, après toutes ces années, et tout le recul, je me rends compte qu'il est toujours aussi difficile d'expliquer (et de faire vraiment comprendre) comment c'était là-bas. Les mots ont leurs limites… C'était notre grande déception avec Philéas en rentrant : ne pas arriver à "partager" la réalité, et pourtant on sait décrire avec moultes détails !!! Il faut l'avoir vécu pour comprendre…
J'ai vécu à Kaolack et à Thiès en même temps qu'Angélique car je travaillais dans la même entreprise que "Philéas". Je peux attester que tout ce qu'elle écrit (joliment d'ailleurs) est parfaitement conforme à la réalité.
Oui, je suis retournée au Sénégal mais pas pour y vivre cette fois, seulement pour des "vacances aventures", et ça change un peu le ressenti. La 1ère fois que j'y suis retournée c'était en 2008, et j'ai retrouvé presque exactement le même pays, avec en plus des antennes relais et des téléphones portables partout ! Un décalage très bizarre… Kaolack s'est beaucoup développé, mais reste toujours très sale comme ville.
En quittant le pays en 1995, j'avais juré de ne plus y remettre les pieds… Mais c'était sans compter sur le virus envouteur de l'Afrique qui ensorcèle tout visiteur !
Depuis 2007, mon mari y retourne chaque année, sac sur le dos, pour faire découvrir ce pays autrement (loin des usines à touristes) à une poignée d'amis, un peu en mode rdv en terre inconnue.
Nous y avons même embarqué nos enfants à deux reprises, et quand ils ont vu Kaolack et là où on vivait, ils étaient bien content de ne pas être nés là-bas 🙂 !!!
Quelle expérience ! J'ai lu ce témoignage avec beaucoup d'admiration : je crois que j'aurais fui très vite au bout de la première journée…
Tu dis être retournée au Sénégal, es-tu retournée dans cette ville ? Je serais curieuse de savoir si (ou plutôt comment) les choses ont changé !
L'expatriation est une grande école de la vie, mais c'est vrai que par le biais de l'Afrique, on y reçoit une sacrée leçon de vie qui donne une toute autre dimension à l'expérience 🙂 !!!
Mais quelle aventure ! Je suis impressionnée, pour une première expatriation c'est … un peu violent, mais je comprends pourquoi tu es devenue philosophe après ça 🙂
ahah 🙂 aventurière de pacotille oui !!! je ne sais toujours pas comment j'ai pu résister… Et pourtant, si j'y suis arrivée, tout le monde peut y arriver franchement.
J'adore raconter avec dérision, sur un ton décalé. Il vaut mieux en rire (même si là-bas, on ne riait pas tous les jours…) Je suis intarissable sur mes aventures au Sénégal, lorsqu'on y vivait, mais aussi à chaque fois qu'on y retourne en "vacances" 😉 !!!
Je ne connais pas l'Inde (qui me fait peur), mais après avoir lu tes 2 articles évoquant ton ressenti sur ce pays, je crois quand même que c'est un poil moins extrême quand même.
Je suis loin d'être une aventurière, ohlàlà si tu savais, plutôt une caricature oui 🙂 !!! Mais il est vrai qu'avant de partir là-bas j'étais une vraie chochote insupportable, et après tout "ça", quand je suis rentrée en France, j'étais blindée ;)…
Heureusement que je n'ai eu à (sur)vivre à Kaolack que 4 mois. La ville où on a déménagé après, a été un peu moins éprouvante, en tout cas physiquement.
Ohlalala ça c'est un sacré dépaysement et un vrai saut hors du nid/cocon familial ! 🙂
Estelle a raison, tu es une vraie aventurière ! XD
J'adore ta manière de raconter cete phase de ta vie, ce pays… Merci ! 🙂
Wouahouh ce que tu décris reflète toutes les phases par lesquelles je suis passée lors de mon voyage d'un mois en Inde. Et au bout d'un mois, je saturais vraiment et je voulais rentrer en France au plus vite. Mais toi tu l'as fait en 1994 et pendant 2 ans. Tu es une véritable aventurière, c'est une expatriation qui m'impressionne vraiment. Ça n'a vraiment pas dû être facile au quotidien mais je suis sûre que cette expérience a façonné la personne que tu es devenue aujourd'hui, ça t'as sûrement transformée depuis ton retour. En tout cas ton récit était vraiment intéressant et les photos parlantes. Eh oui l'expatriation ce n'est pas rose tous les jours et la tienne était compliquée dès le départ de par la destination.